上顎前突治療の一般的治療期間とその来院回数
1) 治療内容 上顎前突で口が閉じにくいとか上口唇が出ている場合は、抜歯を併用することが多くあります。
また難しい症例では、アンカースクリューを併用することもあります。
2) 治療回数 装置装着まで 4から8回 (検査、歯ブラシ指導、診断、抜歯、アンカースクリュー植立、
装置作製など)
装置装着から撤去まで 12から30回(月一回の来院で1年から2年半くらい)
保定治療 9回(定期観察を3年行った場合)
○来院回数の合計 31回から46回位の来院(装置の破折による修理や、カリエス治療等を除く)
3) 治療費 非抜歯で1年の治療と保定3年の場合 約65万円(支払総額、消費税込)
2本の抜歯と2本のアンカースクリュー、2年の治療と保定3年の場合 約88万円(支払総額
、消費税込)
4本抜歯で2年の治療と保定3年の場合 約87万円(支払総額、消費税込)
この患者さんの治療の詳細
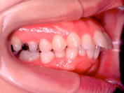
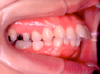
1) 主訴 上の歯が出ており、口が閉じにくい 発音が悪い
2) 診断名 上顎前突
3) 初診時年齢 15歳
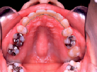
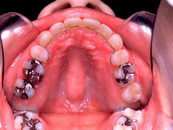
4) 治療に用いた装置 ストレートタイブマルチブラケットシステム(018x025スロット)
パラタルバー、前歯はセラミックブラケット
5) 抜歯 左右上顎第一小臼歯、下顎左右下顎第二小臼歯(計4本)
6) 治療期間 開始時から装置装着まで3か月、マルチブラケット期間2年3か月、保定期間4年
7) 治療費概算 検査料、診断料、基本施術料、装置料、審美ブラケット加算、保定装置料 調節料
(27回)、観察料(11回)総合計で 約72万円(消費税5%を含む)
最近はアンカースクリューを使用するケースが多く、2本使用した場合は通常は
約88万円程(消費税10%を含む)かかります。最も費用がかかる年は、初年度で
約40万円くらいです(分割払い可能)
8) 考えられる治療効果 咀嚼能力および発音能率の向上、口唇が後退することで口元の審美性の改善
9) 考えられる治療リスク
前歯の後退によって、歯根吸収や移動による生じる軟組織の影響による上下前歯の後戻りが考えら
れます。(この患者さんでは生じませんでした。)
治療初期には矯正装置による痛みや不快感があります。(通常は数日で慣れることが多いようで
す)装置の手入れ(歯ブラシなど)や定期的な通院等において患者さんの協力が悪い場合には、
歯肉炎やカリエスを生じやすく、結果的に治療期間が長引いたり、後戻りの発見が遅れることで
保定期間が長くなったりします。
上記以外のリスクについては 治療例トップページの「矯正治療のリスク」をお読みください。

HOME











