顎変形症の治療の一般的治療期間とその来院回数
1) 治療時期 手術を併用するこの治療は、手術時期を先に想定してから開始となります。手術時期は思春期
成長後が基本です。つまり男子では18歳、女子では17歳以上となります。逆算すれば術前矯正
が一年かかると仮定すれば、開始時期は約1年半前になります。(検査等の準備が必要なため)
2) 治療内容 いきなり顎の骨を切るわけではなく、手術前に術前矯正治療をする必要があります。その後手
術の準備をして、入院、手術、退院となりますがこの期間は約2週間くらいです。退院後ある程
度口が開く様になったら、術後矯正が始まります。
○治療回数 装置装着まで 4から8回 (検査、歯ブラシ指導、診断、抜歯、装置作製など)
術前矯正治療 非抜歯で9回から12回、抜歯併用の場合は18回から24回位
その他 手術前後の検査や準備で 4回前後
術後矯正治療 6回から12回位(意図しない事故の場合はさらに多くなります)
保定治療 9回(定期観察を3年行った場合)
○来院回数の合計 40回から55回位(装置の破折による修理や、カリエス治療等を除く)
3) 治療費 保険治療(3割負担)
保険での矯正治療費は総額で約100万円〜150万円といわれていますが、請求できる治療をすべ
て行う訳ではないので、自己負担額は約30万円前後です(術前、術後治療の総額)
但し、高額医療の対象になりますので、実際はもっと負担は小さくなります。
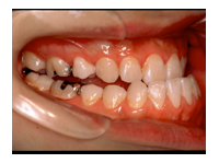
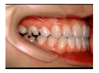
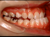
この患者さんの治療の詳細
1) 主訴 下あごが出ている、前歯で咬むことができない、しゃべりにくい
2) 診断名 顎変形症(下顎近心変位)
3) 初診時年齢 22歳
4) 治療に用いた装置 ストレートタイブマルチブラケットシステム(018x025スロット)
リンガルアーチ
5) 抜歯 新規抜歯はなし(ただし上顎左右の第一小臼歯は初診時には既に抜歯されていた)
6) 治療期間 開始時から装置装着まで3か月、術前矯正期間5か月、術前矯正期間3か月、保定期間3年
合計3年11か月
7) 治療費概算 外科手術を含めすべて保険適用の治療 ※高額療養費の対象になりますので、最終的には
治療期間中の各年度における年間負担額は10万円以下になります。
8) 考えられる治療効果 咀嚼能力および能率の向上、構音機能の改善、口唇の閉鎖機能の改善、側貌を含め
口唇等の審美性の改善
9) 考えられる治療リスク
手術に伴う術後の口唇や皮膚のしびれなど、上下前歯の後戻り、およびこの後戻り防止のための保定観
察期間の延長治療初期には矯正装置による痛みや不快感があります。(通常は数日で慣れることが多い
ようです)
装置の手入れ(歯ブラシなど)や定期的な通院等において患者さんの協力が悪い場合には、歯肉炎や
カリエスを生じやすく、結果的に治療期間が長引いたり、後戻りの発見が遅れることで保定期間が長
くなったりします。
上記以外のリスクについては 治療例トップページの「矯正治療のリスク」をお読みください。
10)この治療は、矯正治療および外科手術とも 「保険適応」です。

HOME











