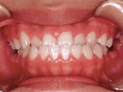
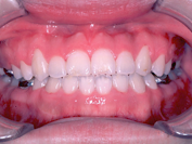
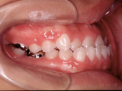
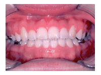
治療後 右
下顎の小臼歯を2本抜歯し、主に下の前歯を後ろに倒す形で改善しました。下の前歯を後ろに引っ込める場合は、骨の厚みが非常に薄いために、後ろに平行移動すると、骨から歯が出てしまいます。従って、前歯を後方に傾けるようにしか直せません。なおった形があまり美しくなく、安定性もよくないことから、下顎前突の患者さんでは、歯を抜くケースはそんなに多くありません。
下顎前突治療の一般的治療期間とその来院回数
1) 治療内容 下顎前突での治療は、上顎前歯を前に押し出しながら、下顎の前歯を後退させてゆきます。
抜歯を併用するケースは意外と少なく当院では約1割です。ただ子供の頃から治療を開始す
る場合が多いため(一次治療)、治療期間は長期にわたることがあります。
また歯だけの修正では直せない場合は、手術を併用する(顎変形症を参照)こともあります。
2) 治療回数 装置装着まで 4から8回 (検査、歯ブラシ指導、診断、抜歯、装置作製など)
一次治療 乳歯から永久歯交換終了(約13歳まで)0回から20回位
二次治療 永久歯交換後に装置装着から撤去まで 12から24回(月一回の来院で1年から2年)
保定治療 9回(定期観察を3年行った場合)
○来院回数の合計 25回から55回位の来院(装置の破折による修理や、カリエス治療等を除く)
3) 治療費 一次治療費のみの場合の治療費 約30万円(消費税込)
一次治療後の二次治療で、非抜歯の場合 約65万円(消費税込)
二次治療のみで非抜歯の場合 72万円〜82万円(支払総額、消費税込)
二次治療のみで抜歯(4本)の場合 88万円(支払総額、消費税込)
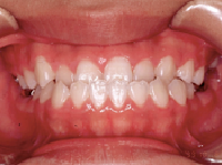
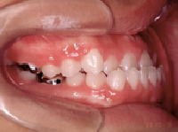
この患者さんの治療の詳細
1) 主訴 受け口になっている
2) 診断名 下顎前突
3) 初診時年齢 13歳
4) 治療に用いた装置 ストレートタイブマルチブラケットシステム(018x025スロット)
パラタルバー、前歯はセラミックブラケット
5) 抜歯 左右下顎第一小臼歯(計2本)
6) 治療期間 開始時から装置装着まで3か月、マルチブラケット期間2年0か月、保定期間4年
7) 治療費概算 検査料、診断料、基本施術料、装置料、審美ブラケット加算、保定装置料 調節料(20回)
観察料(10回) 合計 約74万円(消費税5%を含む)
8) 考えられる治療効果 咀嚼能力および能率の向上、構音機能の改善、口唇等の審美性の改善
この患者さんは通常ならもう少し早めに一次治療を行うことで骨格のズレを修正した方がよい
と思われます。その結果、二次治療では骨組みのズレを治すことができないため、永久歯の抜
歯を併用しての治療になりました。
9) 考えられる治療リスク
受け口を直すために下の前歯を内側に倒すことがあり、その結果歯肉炎や、成人では前歯の歯肉に退縮が
生じることがあります。また前歯の後戻りも予想されます。(この患者さんでは生じませんでした。)
治療初期には矯正装置による痛みや不快感があります。(通常は数日で慣れることが多いようです)
装置の手入れ(歯ブラシなど)や定期的な通院等において患者さんの協力が悪い場合には、歯肉炎やカリ
エスを生じやすく、結果的に治療期間が長引いたり、後戻りの発見が遅れることで保定期間が長くなった
りします。
上記以外のリスクについては 治療例トップページの「矯正治療のリスク」をお読みください。

HOME











