step1 基本検査
step1 基本検査
矯正治療の最初は、基本検査です。
この検査をすることで、歯並びの原因が骨組みにあるのか、歯にあるのかが分かります。また、その治療をするために、成長が利用できるのかできないのか、どんな治療が必要か、その治療目的にはどの装置が最もよいのかを見極めなくてはなりません。
なにが悪いのかを知らなければ、治療として何をするべきかも分からないのです。
時々、すぐに矯正装置を入れて欲しいと希望されることがあります。虫歯ならどの歯が悪くて、どの程度進行しているかが分かれば、すぐに治療を開始できるのですが、矯正治療は、何が悪いのかを把握しなければ、治療方針も決まりません。当然どの装置を作るかも決められません。つまり検査も何もせずいきなり装置を作り始めることは、あてもなく船をこぎ出すようなもので、とても治療とはいえません。
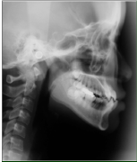
- レントゲンとセファロ分析
_


- 模型とその分析
_

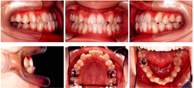
- 口腔内写真と顔面写真
_
- このほかにも、成長分析や、必要に応じて顎関節の検査、顎運動、筋電図、CTやMRI撮影などの検査をおこないます。
step2 歯ブラシ指導
step2 歯ブラシ指導
今後虫歯を作らないことが大切です
矯正治療を進める際に、大敵は虫歯です。矯正治療を行っている最中だけでなく、治療後も虫歯にならないことは、非常に大切なことです。矯正装置は、ただでさえ難しい虫歯予防をさらに難しくします。下手をすれば虫歯製造器になる危険もあります。
当クリニックでは、今後治療中も、治療後も虫歯を作らないことを目的に、カリエスリスクテストを行います。これはまず現在自分が、どの程度虫歯のできるリスクがあるのかを、いろいろな項目から、かつそれを点数であらします。そうすることで、どこに問題があり、今後何を注意して虫歯予防すればよいかが、よくわかります。
- 唾液テスト:唾液の量や、緩衝能力を調べることで虫歯になりやすさがわかります。
- 1)唾液緩衝能力のテスト
- 2)虫歯菌(ミュータンス菌)のテスト
- 虫歯菌(ミュータンス菌)を培養して、どの程度虫歯菌がいるのかを調べます。まれにほとんど虫歯菌のいない人もいますが、非常にラッキーな人です。
虫歯菌(ミュータンス菌)検査
step3 診断
step3 診断
今後の矯正治療の目標、およびその達成方法(=治療方針)が最終的に決まります。
今後の矯正治療の内容説明と共に、装置の種類、装着時期、から今後の治療年毎の治療費およびその支払い方法の詳細についても相談して決めてゆきます。
検査結果がすべて出揃いましたら、そこではじめて診断ができます。ここで、現在どんな問題が起きているのかを説明します。それにより、何をどこまで治すのか、目標はどこに置くのか、そのために歯を抜くのかどうか、治療費はいつどのように精算するのかを説明します。すべて、患者さんの希望をお聞きしながら決めてゆきます。
- 何を治すのか(骨組みなのか、歯の位置なのか)
- 目標をどこに置くのか
- そのためには歯を抜く必要があるのかどうか
- どんな装置を使用するのか
- 費用はいつまでに、どの程度支払うのか(当院では各年度単位で精算します)
- もし進学等で、転居した場合はどうなるのか(転居先の先生を探して紹介します)
- 治療を中断したい場合はどうするのか(学会推奨の返金規定に準じた規約があります)
step4 装置作成
step4 装置を作成
矯正治療計画に基づき、その治療達成のための方法(=矯正装置)が決まりましたら、いよいよその装置を制作します。矯正装置には自分で取り外せる装置(=可撤式装置)と自分で取り外せない装置(=固定式装置)とがあります。一回でできるケースもありますが、多くは何度かの通院で制作します。
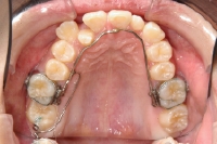
上顎の内側に装置

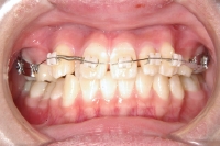
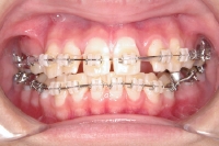
上顎の外側にセラミックブラケットを装着


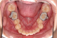
下顎の奥歯にバンドを装着



下顎の外側にセラミックブラケットを装着
矯正治療中の来院は通常月約一回ですが、装置を作成しているときは、月に二回以上回来院していただくこともあります。
当クリニックでは、矯正治療中も、もちろん治療終了後も虫歯を作らないことを目的に、カリエスリスクテストを行い、それを利用した予防プログラムを作成します。カリエスリスクテストはまず現在自分が、どの程度虫歯のできるリスクがあるのかを、いろいろな項目から調べ、それを点数であらわすものです。

HOME

前のページへ