開咬治療の一般的治療期間とその来院回数
1) 治療内容 開咬治療は矯正歯科治療の中でも後戻り率が高く、非常に難しい治療です。
特に原因を特定することが難しいだけでなく、舌の突出癖や口呼吸、口唇の力が弱いなど
仮に原因が分かっていても治療がうまく進まないケースが多数あります。
抜歯した方がかみ合わせが深くなりやすいことから、親知らずも含めて抜歯するケースが多
くあります。近年ではアンカースクリューを併用することで治療の成功率が上がったのでは
と感じます。
もちろん歯だけの修正では直せない場合は、手術を併用(顎変形症を参照)します。
2) 治療回数 装置装着まで 4から8回 (検査、歯ブラシ指導、診断、抜歯、装置作製など)
一次治療 乳歯から永久歯交換終了(約13歳まで)0回から20回位
二次治療 永久歯交換後に装置装着から撤去まで 12から24回(月一回の来院で1年から2年)
保定治療 9回(定期観察を3年行った場合)
○来院回数の合計 25回から55回位の来院(装置の破折による修理や、カリエス治療等を除く)
3) 治療費 一次治療費の治療 約30万円(消費税込)および非抜歯で二次治療約65万円(消費税込)
二次治療のみ(4本抜歯、アンカースクリュー併用)の場合は、88万円〜92万円(支払総額、消費
税込)
この患者さんの治療の詳細
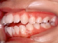
1) 主訴 前歯で咬むことができない
2) 診断名 前歯部開咬
3) 初診時年齢 25歳
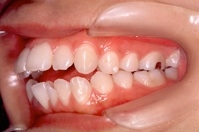
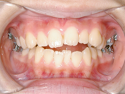
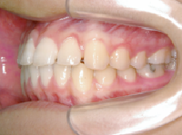
4) 治療に用いた装置 ストレートタイブマルチブラケットシステム(018x025スロット)
パラタルバー、前歯はセラミックブラケット
5) 抜歯 すべての智歯(親知らず)計4本
6) 治療期間 開始時から装置装着まで3か月、マルチブラケット期間1年6か月、保定期間4年
7) 治療費概算 検査料、診断料、基本施術料、装置料、審美ブラケット加算、保定装置料 調節料
(18回)、観察料(9回)
合計 約68万円(消費税を含む)
ただし小臼歯を抜歯する場合や、アンカースクリューを使用する場合は、約3万円から
10万円ほど高くなります
8) 考えられる治療効果 咀嚼能力および能率の向上、構音機能の改善、口唇等の審美性の改善
9) 考えられる治療リスク
前歯部開咬の患者さんでは、前歯をお互いに挺出させる(引っ張りだすこと)ことが多く、その
結果、前歯の歯根吸収や歯茎の退縮が生じやすくなります。これをさけるためにはゆっくりと歯
を移動させなければならず、治療期間が長くなったりします。
治療初期には矯正装置による痛みや不快感があります。(通常は数日で慣れることが多いようです)
装置の手入れ(歯ブラシなど)や定期的な通院等において患者さんの協力が悪い場合には、歯肉炎や
カリエスを生じやすく、結果的に治療期間が長引いたり、後戻りの発見が遅れることで保定期間が長
くなったりします。
上記以外のリスクについては 治療例トップページの「矯正治療のリスク」をお読みください。

HOME











