治療前 側貌

 骨組みのズレが大きい場合には、歯並びをみなくても、横顔だけですぐにずれていることが分かります。これはコンプレックスや精神的障害と結びつきやすく、そのような悩みを持つ患者さんが多いようです。

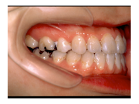
治療前 右

上下の顎の骨がずれているので、うまく咬むことができないだけでなく、発音にも悪影響が出ます。

治療後 側貌

上顎、下顎ともにそれぞれ単独では、大きなガタガタもなく並んでいましたので、手術までは約半年で、また手術後も3ヶ月くらいで装置を外すことができました。その結果、治療開始11ヶ月で装置を撤去することができました。

治療方法 右

かみ合わせも発音もよくなったのですが、この女性の場合は、性格まで明るくなったことが、驚きでした。

ENTER

叢生   Crowding

八重歯に代表される、歯がガタガタして乱ぐい状態になっているケースです。

上顎前突

上の歯が前に出ているケースですが、下顎が後ろに引けていることもあります。

下顎前突

いわゆる受け口といわています。

開咬

上下の歯に隙間があり、そこだけ咬んでいないケースです。発音にも影響があります。

顎変形症

骨のずれが大きく、手術を併用しなければ治せないケースです。健康保険が効きます。