1 : 歯を抜くの?


すべての患者さんが抜いて治すわけではありません。ただ、抜かざるを得ないケースがあります。

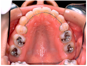
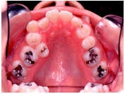
  • 歯を抜くかどうかは、矯正治療をする上で非常に重要な問題です。そこで、治療方針を決める際にはまず検査をし、その検査結果を分析します。もちろん患者さんの希望も考慮にいれて、診断の際に最終的な判断をします。
  • 歯を抜く場合には、どうして抜かないといけないのか、何本抜くのか、またどの歯を、いつ、どこの歯科医院で抜くのか(当クリニックでは、抜歯はゆきつけの歯科医院へお願いしています)などを分析資料を交えて説明致します。抜歯したスペースは、矯正治療によりどのように利用されますので、隙間が残ることはまずありません。抜く場合にはそれによりかみ合わせや、横顔等がどう変化するのかも、予測画像をお見せすることもできます。


(注) 歯を抜かないことを誇大に宣伝するケースがありますが、抜かないことが善で、抜くことが悪と簡単に割り切れるものではありません。歴史的にも100年以上前から議論がありますが、抜歯は必要なケースがあるというのが、現時点の世界的なコンセンサスです。