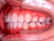
叢生 治療前 左側

いわゆる乱ぐい歯と言われていますが、八重歯もこの分類に属します。簡単に言えば、歯の大きさと顎の大きさにアンバランスがあり、並びきれないものです。形はいろいろなバリエーションがありますが、要は並びきれないので、顎を大きくするか歯を間引くかという治療方針になります。顎の骨を大きくすることもあるのですが、成長が付いて来られないとか、後戻りの危険性が大きいことなどから、歯を抜く方法が一般的です。

叢生 治療前 上顎

この患者さんでは、上下左右の歯を計4本抜きましたが、それでももスペースが足りませんので、さらに顎の形を変えて並べ替えました。

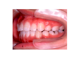
叢生 治療後

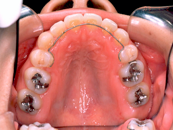
抜歯する歯は、変なところに生えていた犬歯ではなく、4番目の歯(=第一小臼歯)です。犬歯を抜くと、顎運動や歯並びの見た目、口元のふくらみがなくなることで老けて見えるなど、いろいろな悪影響があります。従って、できるだけ抜歯は避けたいのです。

叢生 治療後 上顎

歯を抜いたスペースを利用して、残りの歯をきれいに並べ替えてゆきます。この患者さんの場合は、抜いたスペースはほとんど余りませんので、意外に早く治療が終わりました。

ENTER

叢生   Crowding

八重歯に代表される、歯がガタガタして乱ぐい状態になっているケースです。

上顎前突

上の歯が前に出ているケースですが、下顎が後ろに引けていることもあります。

下顎前突

いわゆる受け口といわています。

開咬

上下の歯に隙間があり、そこだけ咬んでいないケースです。発音にも影響があります。

顎変形症

骨のずれが大きく、手術を併用しなければ治せないケースです。健康保険が効きます。