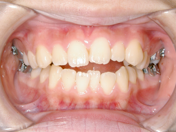
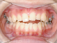
治療前

 上下の前歯が咬んでおらず、隙間があります。当然発音に問題が出てきます。

治療前

この隙間があるために、空気を飲み込んでしまうことから、それを避けようと舌を突き出す癖が出てきたりします。

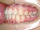
治療後

前歯を下げるために、上の歯だけですが、左右の4番目の歯(=第一小臼歯)を抜きました。前歯を引っ込めることで、咬むことができるだけでなく、口元も改善します。

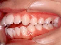
治療方法

舌を突き出す癖は、年齢の低い時期に取り除くことができれば再発しにくいのですが、思春期成長が終わった後だと、完全に治すことが難しく、しばしば後戻りの原因になります。そのため治療後は、舌を突き出さなくするための舌訓練や、物理的に舌を突き出す癖を防止する矯正装置などを継続して使用することが必要です。

ENTER

叢生   Crowding

八重歯に代表される、歯がガタガタして乱ぐい状態になっているケースです。

上顎前突

上の歯が前に出ているケースですが、下顎が後ろに引けていることもあります。

下顎前突

いわゆる受け口といわています。

開咬

上下の歯に隙間があり、そこだけ咬んでいないケースです。発音にも影響があります。

顎変形症

骨のずれが大きく、手術を併用しなければ治せないケースです。健康保険が効きます。