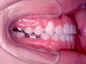
治療前 右

 いわゆる受け口といわれる患者さんです。受け口の方は前歯のかみ合わせが逆になっているので、簡単に発見できることもあり、小学校入学前か低学年で相談にこられるケースが多いようです。その場合は、前歯のかみ合わせで受け口になっているのか、顎の骨組みのズレが原因なのかを見極める必要があります。

治療前 上顎

 この患者さんは骨格性のズレがある受け口です。下顎の骨を切る手術も検討したのですが、本人の希望で矯正治療のみで治したケースです。

治療後 右

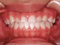
下顎の小臼歯を2本抜歯し、主に下の前歯を後ろに倒す形で改善しました。下の前歯を後ろに引っ込める場合は、骨の厚みが非常に薄いために、後ろに平行移動すると、骨から歯が出てしまいます。従って、前歯を後方に傾けるようにしか直せません。なおった形があまり美しくなく、安定性もよくないことから、下顎前突の患者さんでは、歯を抜くケースはそんなに多くありません。

治療後 正面

骨組みが悪いために受け口になっているケースは、成長を利用して少しずつ骨組みを直す方法がありますが、小学生くらいから始めないと直せません。成長が終了していれば、骨組みの修正はあきらめるか、手術を併用して直すかの選択になります。(手術の症例は別ページにあります)この患者さんは、骨組みが悪いけれど、そのズレを歯だけで修正するために抜歯したケースです。

ENTER

叢生   Crowding

八重歯に代表される、歯がガタガタして乱ぐい状態になっているケースです。

上顎前突

上の歯が前に出ているケースですが、下顎が後ろに引けていることもあります。

下顎前突

いわゆる受け口といわています。

開咬

上下の歯に隙間があり、そこだけ咬んでいないケースです。発音にも影響があります。

顎変形症

骨のずれが大きく、手術を併用しなければ治せないケースです。健康保険が効きます。