4 : まったく見えない装置はない?


 透明な装置や、裏側からつける装置もあります。

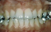
  • 見えにくい装置の他にも、透明なプラスチックシートを利用する装置(写真はインビザラインです。他にもクリアアライナーなどといった商品があります)があります。これらは装置が薄く、しかも透明なシートでできているので、つけてしまえばほとんど分からない装置です。但し何個も(症例によっては30個くらい)次々と交換しなければならないとか、一日に20時間くらい使用してもらわなければならないとか、歯を抜くような難しいケースはうまく直せないなどの欠点もあります。
  • 裏側に付ける装置(=リンガルブラケット)もあります。これは上のプラスチック装置と比較して、複雑な装置ですが、その分抜歯ケースなどの難しい症例でも使用できます。ただし、外側の装置に比較すると、治療期間がやや長くなること、料金が高くなることが欠点です。最近は、各社が多様な特徴のある装置を出しており、今後この装置を使用する患者さんが増えることが予想されます。  でも第一選択は、外側のブラケットだと院長は思っています。理由は、他の装置と比較した場合ですが、きっちりとしたかみ合わせ(=最もきれいなかみ合わせ)が達成できるからです。


(注) 歯の裏側につけるリンガルブラケットは見た目は非常によいのですが、発音や食事がしづらい、治療期間がすこし長くかかる、治療費が高いなどの欠点があります。